CENOVNIK SNIMANJA ZUBA
U dijagnostičkom centru C Orthopan, vršimo savremeno snimanje zuba uz primenu digitalne tehnologije koja obezbeđuje visoku preciznost, minimalnu dozu zračenja i brze rezultate.
Sva snimanja se obavljaju prema važećim medicinskim standardima.
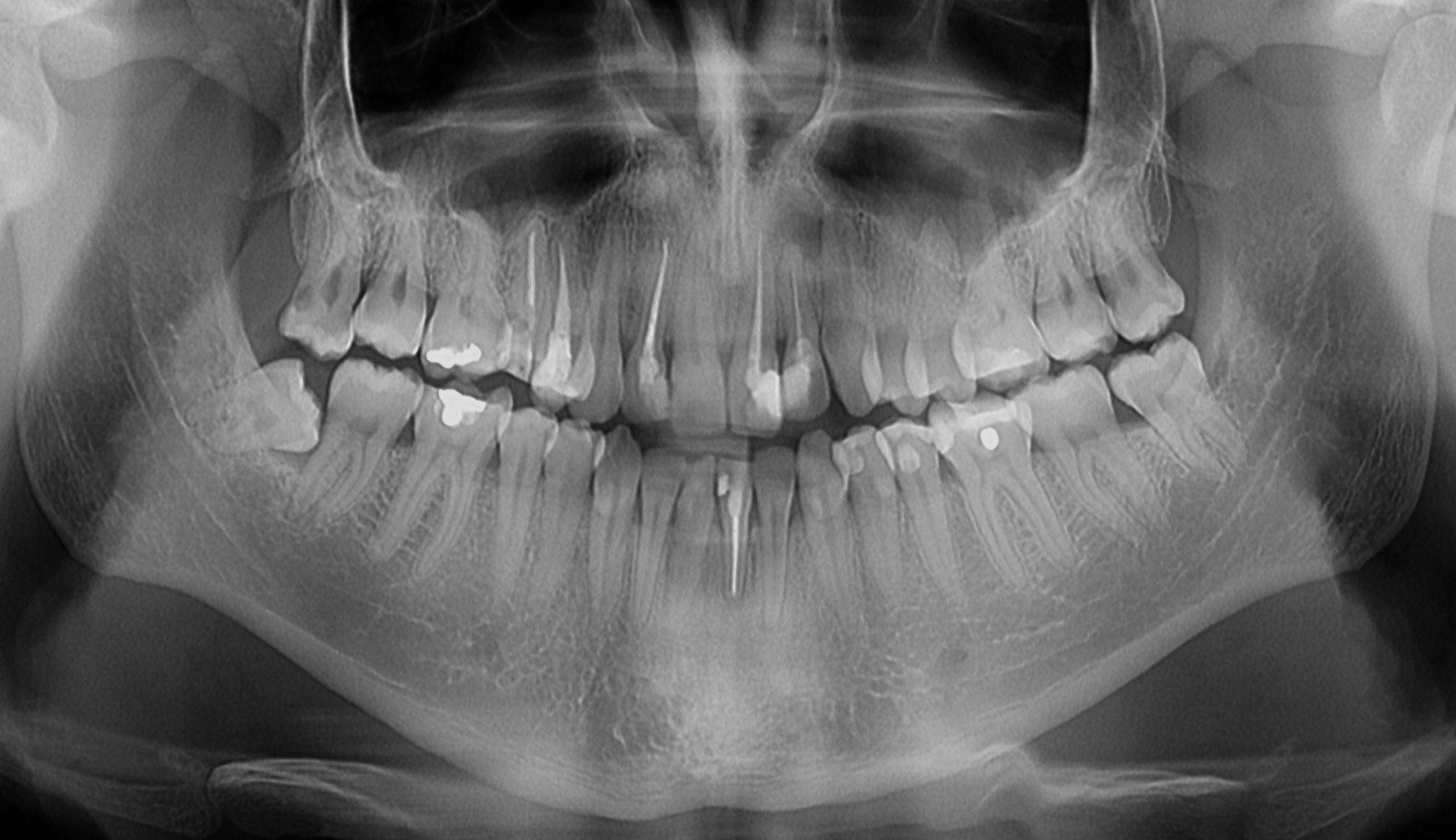
Ortopan-panoramski snimak zuba
Digitalni ortopan je snimak gornje i donje vilice, zuba i okolnih struktura.
Koristi se kao osnovni snimak u stomatološkoj dijagnostici, za planiranje stomatoloških terapija.
4 000,00 rsd
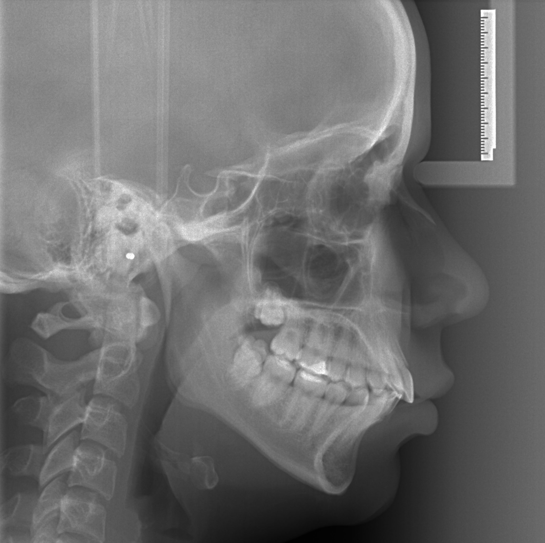
telerendgen - profilni snimak glave
Telerendgen – profilni snimak glave je specijalni snimak glave koji se najčešće koristi u ortodonciji za analizu odnosa vilica, zuba i kostiju lica. Omogućava precizno planiranje ortodontske terapije i praćenj promena prilikom lečenja.
4 000,00 rsd
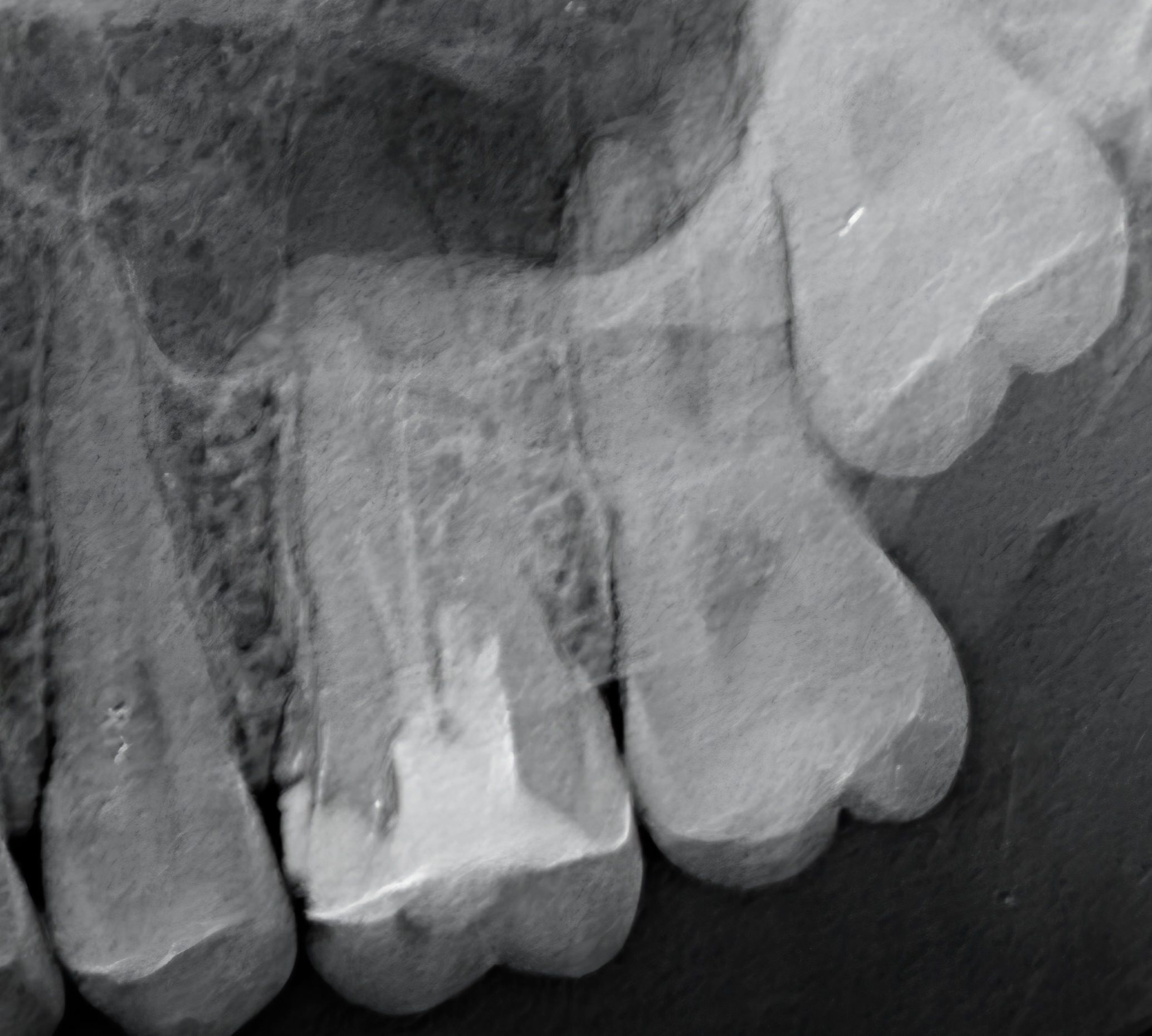
retroalveolarni snimak - POJEDINAČNI SNIMAK ZUBA
Retroalveolarni snimak zuba je precizan rendgenski snimak jednog ili nekoliko zuba, koji prikazuje koren zuba, kost oko zuba, i okolne strukture. Koristi se za dijagnostiku karijesa, procese na korenu zuba i za kontrolu endodontskog lečenja.
1 000,00 rsd
3d snimak - cbct obe vilice
3d snimak gornje i donje vilice je trenutno najkompletniji i najpouzdaniji snimak vilice, zuba i okolnih struktura. Koristi se u stomatološkoj dijagnostici za detaljan pregled, pri pravljenju plana za ugradnju implantata.
8 000,00 rsd
3d snimak - regije
3d snimak regije omogućava detaljan trodimenzionalan prikaz određenog dela vilice i zuba. Koristi se za preciznu dijagnostiku, planiranje implantoloških i hirurških zahvata, kao i za analizu stanja kosti i korena zuba.
4 000,00 rsd
tempomandibularni zglob
Snimak tempomandibularnog zgloba – TMJ, u 3d i 2d modu, omogućava detaljan uvid u položaj i funkciju viličnog zgloba. Koristi se u dijagnostici bolova u vilici, škljocanju pri otvaranju usta, poremećaju zagrižaja i drugih problema vezanih za funkciju viličnog zgloba.
6 000,00 rsd
BRZO, SIGURNO I BEZBEDNO SNIMANJE ZUBA
-
minimalna doza zračenja
-
snimanje traje svega nekoliko minuta
-
rezultati dostupni odmah ili u najkraćem roku
-
digitalni zapis za dalju analizu i planiranje terapije
INFORMACIJE O SNIMANJU ZUBA
Za sve informacije o cenama snimanja zuba i vrsti snimka koji vam je potreban, možete nas kontaktirati telefonom ili putem kontakt forme na sajtu.





